中足骨疲労骨折
中足骨疲労骨折
歩くと痛む足の甲…中足骨疲労骨折かも?原因と早期発見、最新治療を専門医が解説
「ランニングの距離を伸ばしたら、だんだん足の甲が痛くなってきた」
「特に捻ったわけでもないのに、歩くたびにズキズキと響くような痛みがある」
「足の甲が少し腫れぼったく、押すと激痛が走る場所がある」

このような、原因不明の足の甲の痛みに悩まされていませんか?それは単なる使いすぎによる痛みではなく、中足骨疲労骨折(ちゅうそくこつひろうこっせつ)かもしれません。
疲労骨折は、一度の大きな外力で「ポキッ」と折れる通常の骨折とは異なり、同じ場所に繰り返し小さな負担がかかり続けることで、骨に微細なひびが入ってしまう状態です。特に、ランニングやジャンプ動作の多いスポーツ選手、長時間の立ち仕事に従事する方などに見られます。
ここでは、中足骨疲労骨折に悩むあなたのために、そのメカニズムからご自身でできる症状チェック、そしてレントゲンでは見つけにくい早期の疲労骨折を正確に診断する超音波(エコー)検査の有用性、さらに長引く痛みに対する最新の治療法まで、世界の学術論文の知見に基づいて、専門医が徹底的に解説します。
「ただの筋肉痛だと思っていた」「いつになったら練習に復帰できるんだろう…」そんな不安を抱えている方も、この記事を読めば、ご自身の状態を正しく理解し、最適な治療と早期回復への道を歩み始めることができるはずです。
中足骨疲労骨折とは?
中足骨とは、足の甲を形成する5本の細長い骨のことです。この骨は、歩行や走行時に地面からの衝撃を吸収し、体を前に進めるための「バネ」として機能する、非常に重要な役割を担っています。
疲労骨折は、この中足骨に繰り返しストレスがかかることで、骨の自己修復能力が追いつかなくなり、微小な亀裂や骨の内出血(骨髄浮腫)が生じる状態です。
主な原因
トレーニングの急激な変化
ランニングの距離や頻度、強度を急に上げた。
不適切な環境
硬いアスファルトでのトレーニング、クッション性の低いシューズの使用。
足の形状
扁平足や甲高(ハイアーチ)など、特定の足の形は特定の中足骨に負担を集中させることがあります。
その他
女性アスリートの三主徴(利用可能エネルギー不足、無月経、骨粗鬆症)や、骨密度の低下もリスク因子となります。
発症しやすい部位と人
第2中足骨と第3中足骨が最も好発部位です。長距離ランナー、バレエダンサー、サッカー選手、また、訓練量の多い新兵などによく見られます。
もしかして中足骨疲労骨折?ご自身でできる症状チェックと受診の目安
以下の症状に心当たりはありませんか?
□ 運動中や運動後に、足の甲に鈍い痛みを感じる。
□ 安静にしていると痛みは和らぐが、歩き始めると再び痛む。
□ 足の甲に、指で押すと「ここだ」とわかる特に痛い一点がある(圧痛)。
□ 痛む部分が少し腫れている、または熱を持っている感じがする。
□ つま先立ちになったり、ケンケンしたりすると痛みが強くなる。
これらの症状が1〜2週間以上続く場合は、疲労骨折の可能性が考えられます。「そのうち治るだろう」と我慢して運動を続けると、完全な骨折に至ってしまう危険性もあります。早めに整形外科を受診しましょう。
クリニックで行う中足骨疲労骨折の正確な診断
診断は、問診、身体診察、そして画像検査を組み合わせて行います。
問診
スポーツ歴、トレーニング内容の変更、使用しているシューズなど、痛みの原因となりうる背景を詳しくお伺いします。
理学所見(医師による診察)
痛みの場所を正確に特定するための圧痛点の確認や、腫れの評価を行います。
画像検査
X線(レントゲン)検査
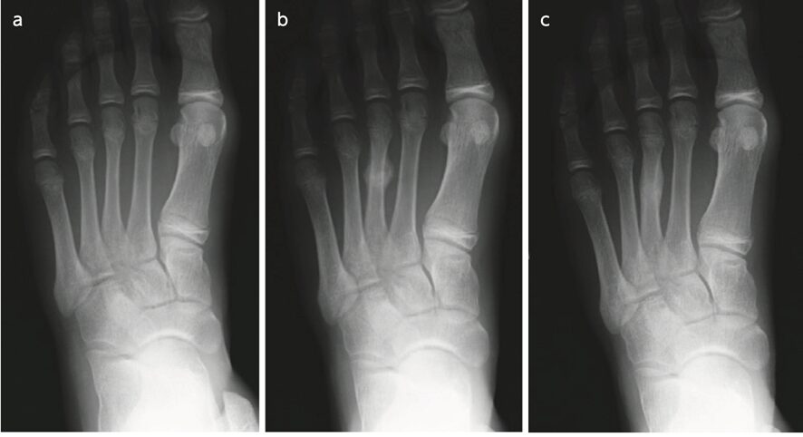
疲労骨折の診断でまず行われますが、発症初期のレントゲンでは異常が見られないことが非常に多いのが特徴です。骨折線が明らかになるまでには、受傷から2〜4週間かかることもあります。

(中学生男子に発症した第3中足骨疲労骨折)
(a.初診時/b.2週間後/c.3ヶ月後)
MRI検査
骨の中の微細な変化(骨髄浮腫)を捉えることができるため、非常に早期の段階で疲労骨折を診断できます。レントゲンで異常がないのに症状が続く場合に、最も信頼性の高い検査です。
中足骨疲労骨折の治療法~あなたに合った治療プランを見つける~
治療の基本は、原因となった負荷を取り除くこと(安静)です。
保存療法
安静・免荷
痛みを引き起こすランニングやジャンプなどの活動を完全に中止します。痛みが強い場合は、松葉杖の使用や、患部への体重負荷を減らすための専用の装具(キャスト、ウォーキングブーツ、硬い靴底の靴など)を使用します。
物理療法
痛みの緩和を目的として、アイシングや低出力超音波パルス(LIPUS)などを行うことがあります。
リハビリテーション
痛みがなくなったら、徐々に活動を再開します。足の指の筋肉を鍛える運動(タオルギャザーなど)や、ふくらはぎのストレッチなどを行い、足の機能を改善し、再発を防ぎます。
手術療法
- 数ヶ月間の適切な保存療法を行っても骨癒合が得られない「遷延治癒」や「偽関節」の状態になった場合。
- 血行が悪く治りにくい特定の部位の疲労骨折(例:第5中足骨のジョーンズ骨折)。
このような稀なケースでは、骨折部をスクリューで固定するなどの手術が必要になることがあります。
中足骨疲労骨折の治療期間と今後の見通し
多くの場合、適切な安静と保存療法により、6〜8週間で骨癒合が得られ、スポーツ活動への段階的な復帰が可能になります。
最も重要なのは、焦って活動を再開しないことです。痛みが消えたからといって急に元のレベルの運動に戻ると、容易に再発してしまいます。医師や理学療法士の指導のもと、足の機能評価を行いながら、慎重にトレーニング強度を上げていくことが、完全な回復への鍵となります。
再発予防のためには、トレーニング内容の見直し、クッション性の高いシューズの選択、足の筋力強化と柔軟性の向上などを継続的に行うことが不可欠です。
つらい足の甲の痛みをあきらめないで、専門医にご相談ください
中足骨疲労骨折は、早期に正確な診断を受け、適切な期間の安静を守ることが最も重要です。特に、レントゲンでは見逃されがちな初期段階でも、超音波(エコー)を用いれば迅速に診断し、治療を開始できます。
「ただの使いすぎ」と自己判断せず、長引く足の甲の痛みにお悩みの方は、ぜひ一度、整形外科専門医にご相談ください。あなたの痛みの原因を突き止め、一日も早い復帰に向けた最適な治療プランを提案してくれるはずです。
監修者情報
桃谷うすい整形外科 院長 臼井 俊方
参考文献
Fredericson, Michael, et al. “Stress fractures in athletes.” *Topics in Magnetic Resonance Imaging* 16.5 (2005): 309-325.
Nattiv, Aurelia, et al. “Correlation of MRI and clinical findings in athletes with stress fractures.” *Clinical Journal of Sport Medicine* 11.2 (2001): 110-116.
Brukner, Peter, and Karim Khan. *Brukner & Khan’s clinical sports medicine*. Vol. 1. North Ryde: McGraw-Hill, 2012.
Howard, Zachary D., et al. “The reliability of ultrasound in the diagnosis of metatarsal stress fractures.” *The Journal of Foot and Ankle Surgery* 56.4 (2017): 745-748.
杉本和也, 磯本慎二, 三浦公郎,百田吉伸. 第2・3中足骨疲労骨折,Freiberg病」 *整形外科と災害外科* 59, no. 2 (2010 255-258.)